When I was in 5th grade, I could barely breathe. Really! If I just walked from the car to the house or any other short distance I had the hardest time catching my breath. People told me that I looked as pale as a ghost, too, which is not the nicest comparison in the world, but I guess they were right. The day I found out what was going on with my body was the day that I woke up with one of my eyes swollen. I didn't feel good at all. I tried to go to school, but since I had a fever and lots of bruises AND a bloody nose that lasted 90 minutes, no lying, I didn't stay very long. Instead I ended up going to the doctor. And then to the hospital!

After a lot of medical people tested my blood and my bone marrow, they figured out what was happening to my body. This Sherlock Holmes part was not one bit of fun, believe me! Well in March of 1995, I found out that I have this disease called aplastic anemia. Now I'm an old pro and can tell you all about it.

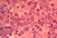
People who have aplastic anemia have bone marrow that just stops working right. Bone marrow is the soft spongy material inside your bones that contains something called stem cells. These are incredibly important little guys that are in charge of making three different types of blood cells. When you don't have normal stem cells, well then you're just out of luck...Your bone marrow doesn't make the red blood cells and the white blood cells and the platelets that you need. Now don't be grossed out. I figured that you'd like to see just what I'm talking about. Here's a picture of your bone marrow, or at least some that probably looks pretty much like yours! See all the stem cells...doing just what they're supposed to do...lucky you!
 

Now here's what my bone marrow looks like. Don't ask me how it happened. Nobody knows, but I can tell you that nothing I did made me get aplastic anemia. OK, so take a look at the inner picture of MY bones.

As you can see, it is no wonder that I have a tough time with this disease. Without healthy stem cells, I just don't have enough white blood cells to prevent infections, or red blood cells to look pink and to breathe easily, or platelets to keep from getting nose bleeds. 

Now that's enough about my disease. Here's a little about the really important things that make me ME! I love everything purple, but I bet you guessed that already. Did you also guess that my favorite soda flavor is rootbear? I have four cats and a dog. I am in my school's jazz band, choir, concert band, as well as my church's orchestra. I love to read, use the internet and e-mail, rollerblade (when I can) ride my bike (when I can), and much more. 

I love to go to school because I get to be around my friends and talk to them in person and not just over the phone. It's fun to be in classes, too, so that I can learn from the teachers and not just from tutors.

When they spray the school with pesticides I can't go. Sometimes they spray and they don't tell my mom so I walk through it and it's a matter of life and death.  Really scary. It's awful when I hear some of the teachers gossip about me, too. I really want everyone to understand. For instance, when I have to stay home, if I don't tell some kids why they say I skip school. Then if I do tell them some of them get scared. They think that they might catch aplastic anemia just by being near me. Believe me, there's no chance of that happening! Luckily, I have some great friends who care. They are very kind.  I can tell them about my disease and they understand and don't get all scared.  We like to joke and they treat me like a human.  They don't feel sorry for me either. I sure wish everybody treated me that way!

That's all for now. Thanks for reading my story!   Laura
 


 
  To the frog ponds
  To send your own story
  To the site map

Joan Fleitas, Ed.D., R.N.
Associate Professor of Nursing, Lehman College, CUNY
Bronx, New York 10468

Last updated: November 14, 2004